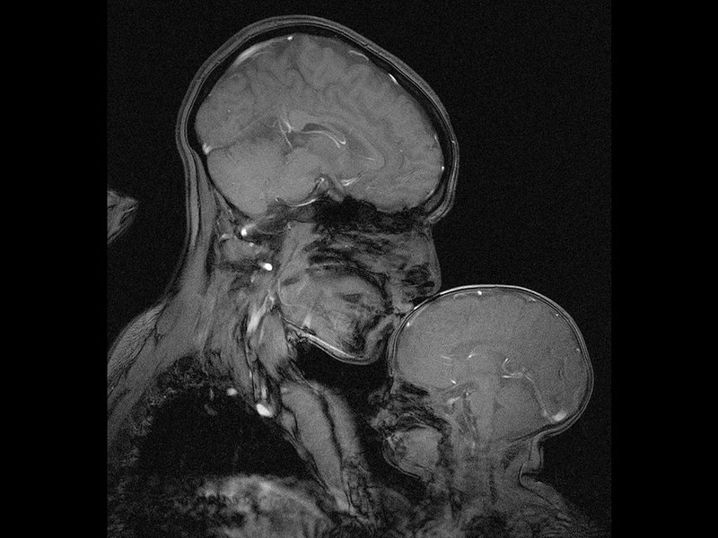
This great magnetic resonance image (MRI) of a mother and her baby curled up together, a symbol of close human bonding, was taken in April 2015. Such a picture needs several minutes to capture, a move of only a millimeter leaving a blur on the screen, so the mother and the child have to hold their pose. The baby had finally fallen asleep pressed against his mother’s chest, allowing the machine to see what happens inside their brains.
Interestingly, this image that is probably the first magnetic resonance image showing a mother and her child, was not made for medical purposes, not even for science. “We made this one because we wanted to see it,” says Rebecca Saxe, an associate professor of cognitive neuroscience in the department of Brain and Cognitive Sciences at Massachusetts Institute of Technology (MIT).

Image: MIT
READ THE ORIGINAL ARTICLE

